Vaccines: Just the facts, please.
Vaccines play an important role in protecting individual and community health, but questions and concerns persist, especially within the epilepsy community. This Clinician’s Corner blog post breaks down the facts about vaccines and explains what current science says about vaccine safety and epilepsy.
Why Vaccines Matter
Vaccination programs improve the health and safety of people all over the world. Only clean drinking water has helped more. Vaccines stop many people from getting sick. When fewer people are sick, diseases spread less. This helps people whose bodies cannot fight germs well. When people are healthier, they miss less school and work. Some vaccines also help prevent cancer. Vaccines help our communities and economy stay strong and grow.
Some people worry more about vaccine risks than benefits. Because of this, fewer people get vaccines. This has caused some old diseases, like measles and whooping cough, to come back.
What are some of the concerns of vaccines within the epilepsy community?
Do vaccines cause epilepsy or brain damage?
No. There was a study in 1998 that claimed vaccines caused autism, but it was fake. Many real studies show vaccines do not cause autism, epilepsy, or brain damage. Many severe brain diseases begin in young children. This is also when children get vaccines, but vaccines are not the cause of the brain disease. Some children may have a fever after vaccine. The fever can trigger a seizure in children who already have a brain or gene problem, but the vaccine did not cause the epilepsy.
An excellent example of this is Dravet syndrome. The first seizure in Dravet syndrome often happens at the time of vaccination, but kids who get vaccines have their first seizure only a few weeks before kids who do not get vaccinated.
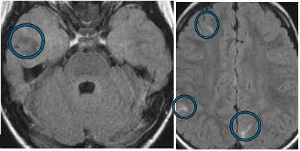
Some diseases that vaccines prevent can cause epilepsy. For example, whooping cough and measles can hurt the brain and cause serious illness or death. The MRI images below are from a previously healthy, fully vaccinated child, with whooping cough. The whooping cough caused bleeding and injury throughout the brain, causing medication-resistant epilepsy (the areas of injury are circled and are only an example of the many areas that were injured).

Do vaccines make epilepsy worse?
Most studies how vaccines are safe for people with epilepsy. Some kids may have a small increase in seizures, but this risk is low. Getting sick from diseases is more dangerous than the vaccine. Children with epilepsy should get the same vaccines as other children.
Is it safer to wait to give vaccines to children with epilepsy?
No. Delaying vaccines can actually increase the risk of seizures and sickness. Getting vaccines on time is safer.
Can people still get sick after a vaccine?
Yes, sometimes. Vaccines are mostly designed to prevent disease, but many protect against infection too. If we get an infection after immunization, our body remembers the germ and fights it faster. This means we do not get as sick as we would have without the vaccine.
Do we still need vaccines if we have medicine?
Yes. Many diseases have no effective treatment. Some vaccine-avoidable diseases are treated with antibiotics. Using too many antibiotics can make germs stronger. Vaccines help stop spreading disease without using medicine.
Are vaccines needed if diseases are rare?
Yes. People travel a lot, so diseases spread easily. When fewer people get vaccines, diseases come back. Vaccines help protect everyone, especially babies, older people, pregnant people, and sick people. This is called herd protection.
Are vaccines harmful to sick or older people?
No. Vaccines protect them. For example, flu shots can cut the risk of death in older people by half. Vaccines also protect unborn babies when parents are vaccinated. Vaccines are important to protect the parent and the child.
What are the current vaccination recommendations?
Doctors use science to decide which vaccines are needed. The American Academy of Pediatrics gives vaccine advice with help from many medical groups. Even though the Centers for Disease Control recently changed some recommendations, these changes were not based on science. Providers and families are encouraged to follow the American Academy of Pediatrics’ vaccine guidelines. .
Author: Katherine C. Nickels, M.D., Mayo Clinic
